Case1 上顎前歯旧補綴物の審美不良に対するやり替え|名古屋市北区の歯医者|志賀本通たくみ歯科・矯正歯科|家族で通える歯科医院

〒462-0853愛知県名古屋市北区志賀本通2丁目14
グランベール志賀本通1階

052-890-7111

WEB予約
院内写真

Case1 上顎前歯旧補綴物の審美不良に対するやり替え

Case1 上顎前歯旧補綴物の審美不良に対するやり替え|名古屋市北区の歯医者|志賀本通たくみ歯科・矯正歯科|家族で通える歯科医院

2026年4月24日

Case1 上顎前歯旧補綴物の審美不良に対するやり替え

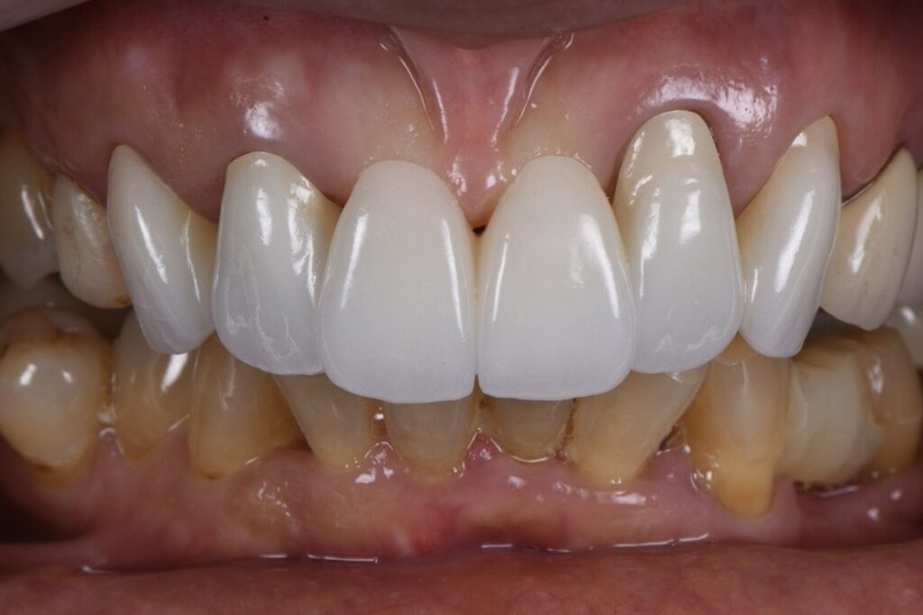
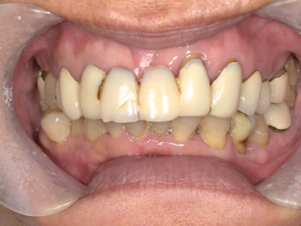
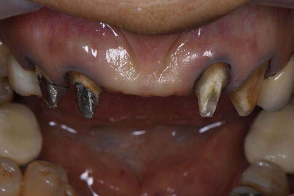
初診時

■主訴前歯の見た目が悪い
■診断名上顎前歯 不良補綴
■初診時年齢50代
■期間2か月
■装置ジルコニアセラミックスクラウン
■費用
└仮歯4400×6 円(自由診療)
└最終補綴(ジルコニアセラミックス)132000×6 円(自由診療)

治療開始:不良補綴の除去

不良補綴の除去を行うと同時に、歯肉形態の改善を試みるため、仮歯を装着。

当院ではカスプデンタルサプライの技工物を使用。

1か月後:型取り、シェードテイク

歯肉に安定後に、圧排糸を用いて精密印象を実施。

カスプデンタルサプライのセラミック専門技工士が同席し、患者様とお話の上、色合わせの写真を撮影。

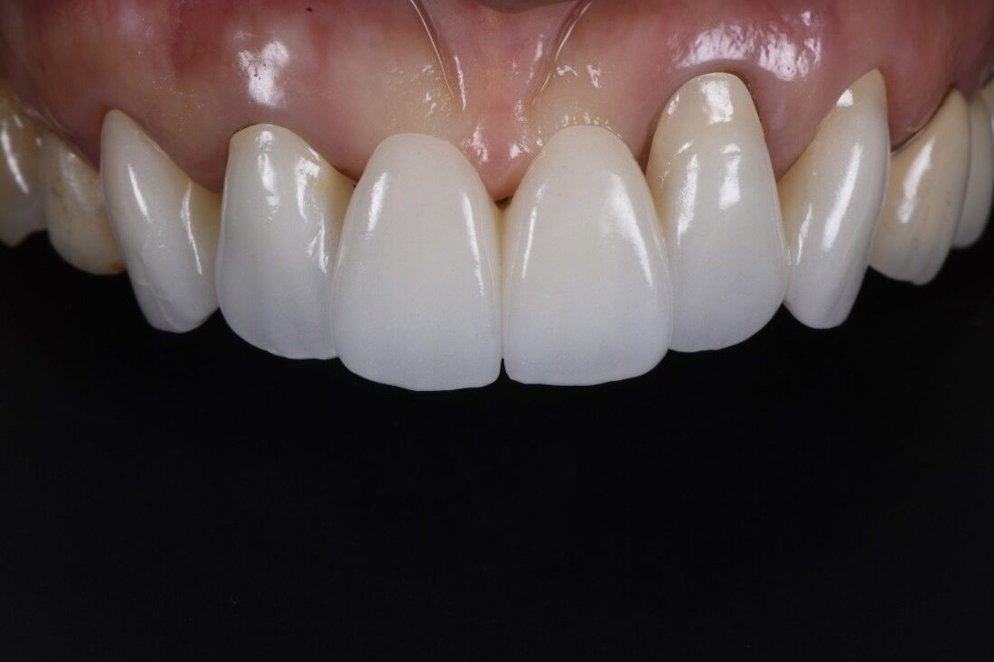
終了

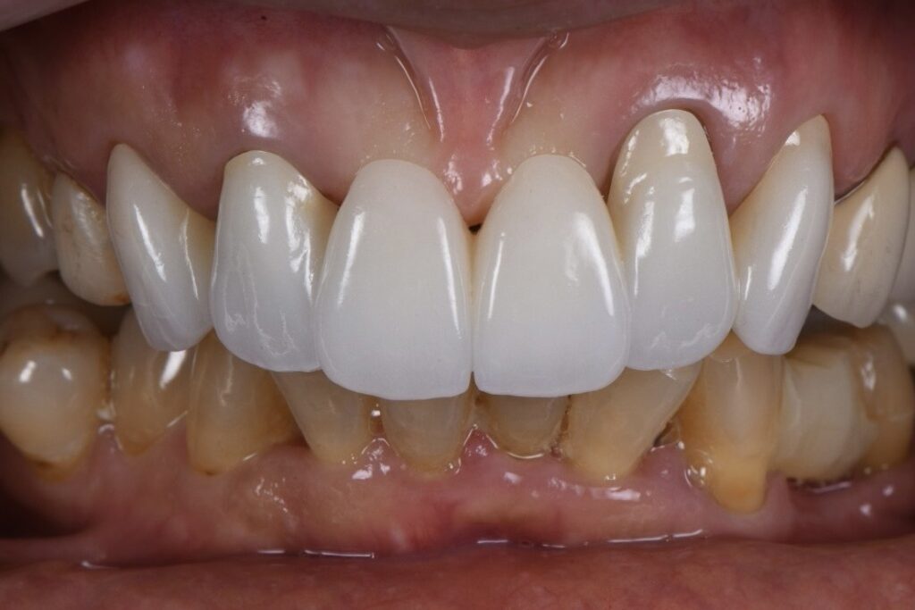
最終補綴物(ジルコニアセラミックス クラウン)を装着。

この時も歯科技工士は同席。

術前・術後

上顎前歯の不良補綴による審美障害について

上顎前歯は、笑ったときや会話の際に最も目立つ部位であり、お顔の印象を大きく左右します。

そのため、装着されている被せ物(補綴物)の状態は、見た目の美しさに直結します。

不良補綴とは、適合が悪い・形態が不自然・色調が周囲の歯と合っていないなど、機能的・審美的に問題のある被せ物のことを指します。

具体的には、
・歯ぐきとの境目に段差や隙間がある
・被せ物の色が周囲の歯と調和していない
・歯の形が大きすぎる、小さすぎる、または左右非対称
・金属の縁が見えている

といった状態が挙げられます。

このような不良補綴は、見た目の問題(審美障害)だけでなく、歯ぐきの炎症や口臭、むし歯の再発といったトラブルの原因にもなります。

特に前歯は目立つため、わずかなズレや違和感でも気になりやすく、笑顔に自信が持てなくなることもあります。

適合性・形態・色調に優れた補綴物へやり替えることで、自然で美しい口元を取り戻すだけでなく、長期的なお口の健康維持にもつながります。

気になる症状がある場合は、お気軽に当院にご相談ください。

WEB予約はこちら

TOP